Before
and
Afters
These are all actual patient cases done by Nappy
Lam DDS
(This same gallery is found on our facebook page if you would
like to leave comments)
Please pass on our number for a free consultation, (503)771-2212

This patient had some aged tooth colored fillings(top) replaced with a
combination of crowns and veneers

Only 2 veneers were done in this case to correct the length issues.

Note the amount of overlap the 2 front teeth had prior to treatment.

This patient only was in town for 24 hours. We did this case to
the best of our ability in the time allotted infact time ran out before
we got to work on the lower teeth.

Invisalign orthodontics was used here to move and rotate a few teeth.
Do you want your teeth straight? Please call us for a free
consultation (503)771-2212

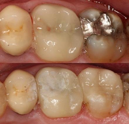
Old leaking amalgams replaced with porcelain onlays, done in about an
hour utilizing CAD/CAM technology.

Here is a leaking and failing amalgam(silver filling) that was replaced
with a CEREC CAD/CAM crown.

This patient chose the very lightest shades for her quadrant of
crowns.

This patient broke off the cusp of the tooth while eating a
brownie. We placed a porcelain onlay to conserve the tooth
structure that was remaining.

This patient had decay underneath an existing leaking amalgam
filling. We replaced it with a porcelain onlay to conserve tooth
structure.

It is quite common to have dark margins around teeth that have been
crowned. We can fix these problems as shown here.

This patient had this piece of tissue that she kept biting on.
After a small amount of anesthetic was placed around the tissue, a
laser was used to excise it and it was later found that this was a
benign or harmless piece of tissue.
Our number again (503)771-2212